Odovtos-International Journal of Dental Sciences (Odovtos-Int. J. Dent. Sc.) 27 (3), 2025 (Sep-Dec): 15-26. ISSN: 2215-3411
https://doi.org/10.15517/pbprpe28
https://revistas.ucr.ac.cr/index.php/Odontos
CASE REPORT:
Fibro-Osseous Lesion Associated with Central Giant Cell Granuloma:
A Rare Hybrid Lesion of the Anterior Mandible
Lesión fibro-ósea asociada a granuloma central de células gigantes:
una lesión híbrida poco frecuente de la mandíbula anterior
Esraa Ahmed Eid Assistant Lecturer¹ https://orcid.org/0000-0001-5925-4601
Mona Mahmoud Abo El Fotouh Profesor¹ https://orcid.org/0000-0002-7671-1170
Hossam El-Dien Hany Lecturer² https://orcid.org/0000-0001-5252-2845
Basma Abdelrahman Ahmed Associate Professor³ https://orcid.org/0000-0001-9216-3146
Mariam Magdy Mostafa BSc² https://orcid.org/0009-0006-2143-1792
Iman Mohamed Helmy Professor³ https://orcid.org/0000-0001-7945-5822
¹Oral & Maxillofacial Radiology, Faculty of Dentistry, Ain Shams University, Cairo, Egypt.
²Oral and Maxillofacial Surgery, Faculty of Dentistry, Ain Shams University, Cairo, Egypt.
³Oral Pathology, Faculty of Dentistry, Ain Shams University, Cairo, Egypt.
Correspondence to: Esraa Ahmed Eid - esraahassan@dent.asu.edu.eg
Received: 7-V-2025 Accepted: 11-VII-2025
ABSTRACT: Hybrid lesions have been reported in literature as lesions consisting of a combination of characteristics from different pathologies. In this article we document a case where a collision tumor of central giant cell granuloma and juvenile trabecular ossifying fibroma co-existed in the mandible. Only a few cases of similar conditions were documented in literature. An 18-year-old female presented with an unusually painful swelling in the symphysis and parasymphysis region bilaterally. Although the two-dimensional imaging suggested an enlarged cystic lesion, the CBCT revealed a well-defined multi-locular hypodense lesion with hyperdense foci, buccal cortical expansion, and lingual cortical perforation suggesting a more aggressive pathology. Curettage, peripheral ostectomy and apicectomy to the associated teeth were the treatment modalities performed. Six months postoperatively, tooth mobility had resolved, and trabecular bone formation was evident in the parasymphysis region. The co-existence of central giant cell granuloma and juvenile trabecular ossifying fibroma is to be considered on observing the clinical and radiographic pictures of both in the same case.
KEYWORDS: Giant cell granuloma; Juvenile ossifying fibroma; Ossifying fibroma; Fibro-osseous lesion; Hybrid tumor; Collision tumor.
RESUMEN: Las lesiones híbridas han sido reportadas en la literatura como lesiones que consisten en una combinación de características de diferentes patologías. En este artículo, documentamos un caso en el que coexistieron en la mandíbula un tumor colisión de granuloma central de células gigantes y fibroma osificante trabecular juvenil. Solo se han documentado unos pocos casos de condiciones similares en la literatura. Una paciente de 18 años se presentó con una hinchazón inusualmente dolorosa en la región de la sínfisis y parasínfisis en ambos lados. Aunque la imagen bidimensional sugería una lesión quística agrandada, la CBCT reveló una lesión hipodensa multilocular bien definida con focos hiperdensos, expansión cortical bucal y perforación cortical lingual, lo que sugiere una patología más agresiva. Se realizaron como modalidades de tratamiento: legrado, ostectomía periférica y apicectomía de los dientes asociados. A los seis meses postoperatorios, la movilidad dental se había resuelto y se evidenció formación de hueso trabecular en la región de la parasínfisis. La coexistencia de granuloma central de células gigantes y fibroma osificante trabecular juvenil debe considerarse al observar las imágenes clínicas y radiográficas de ambos en el mismo caso.
PALABRAS CLAVE: Granuloma de células gigantes; Fibroma osificante juvenil; Fibroma osificante; Lesión fibro-ósea; Tumor híbrido; Tumor colisión.
INTRODUCTION
The World Health Organization (WHO) defined central giant-cell granuloma (CGCG) as an intraosseous lesion consisting of cellular fibrous tissue containing multiple foci of hemorrhage, aggregations of multinucleated giant cells, and, occasionally, trabeculae of woven bone (1). CGCG shows a predilection to young females and usually appears in the anterior mandible. It may present as a slow-growing asymptomatic swelling, or an aggressive badly destructive and painful lesion that may lead to tooth mobility due to tooth displacement or root resorption (2). The actual pathophysiology of CGCG in the jaw is unknown and argumentative, with theories including a local reactive reaction to trauma, infection, or developmental origin.
On the other hand, fibro-osseous lesions of the jaws are a diverse collection of lesions that are distinguished by the formation of new mineralized material in fibrovascular tissue in place of normal bone. In addition to the quantity and composition of the mineralized material being changeable, they exhibit cellular variability. Due to the microscopic similarities between ossifying fibroma (OF) and fibrous dysplasia, radiographic assessment and clinical correlation are crucial for interpreting fibro-osseous lesions (3). OF is a mixed radiolucent lesion that typically affects females in their second and fourth decades of life (4).
Lesions constituting of a combination of characteristics from different pathologies have been reported in the literature. Hybrid lesions involving CGCG and fibro-osseous components are very rare in the jaws, with only a few cases reported in the literature (3).
CASE REPORT
The current study was approved by the Research Ethics Committee of the Faculty of Dentistry Ain-Shams University approval number FDASU-Rec IR122441. The patient signed a written consent that clarifies the use and publication of her data in this study.
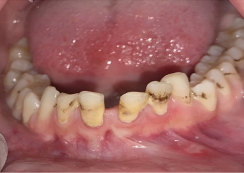
An 18-year-old female student was referred to the Department of Oral and Maxillofacial Surgery at Ain Shams University with a firm to hard swelling related to the mandibular symphysis and parasymphysis region bilaterally, involving all mandibular anterior teeth. The lesion first appeared four months ago as a painful swelling related to the symphyseal region. The patient was prescribed antibiotics and analgesics at the time and the pain eventually subsided. A month later, the patient reported loosening of the mandibular incisor teeth. History of trauma at a young age, pain and increase in facial volume were also reported. Upon clinical examination, the lesion was hard on palpation with crepitus sounds, covered by healthy gingiva and exhibited slight tenderness (Figure 1). Associated teeth 31, 32, and 41 were flared with grade II mobility. Family history, medical and systemic conditions were unremarkable.

Figure 1. Intra-oral examination at the site of swelling extending from tooth 35 across the midline to tooth 43 revealing healthy gingiva and mucosa, flaring in 31 and 41.
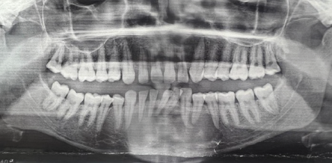
The patient’s chief concern was the rapid rate of growth and the sudden onset of tooth mobility. A panoramic radiograph, provided by the patient, revealed a radiolucent area extending occlusogingivally from just below the alveolar crest to the inferior border of the mandible, mediolaterally from tooth 35 crossing the midline to tooth 43, causing lateral displacement of the lower incisors (Figure 2). A chairside aspiration of the lesion was performed to determine the nature of the swelling, which turned out to be mostly negative with few drops of blood.

Figure 2. 2D Panoramic radiograph showing well defined radiolucency at the area of the lower anterior teeth.
Further three-dimentional imaging was required and a cone beam computed tomography (CBCT) was carried out showing well-defined multilocular hypo-hyperdense lesion, with ill-defined granular wispy septa and granular hyperdense patches. Axial and sagittal cuts revealed expansion and thinning of the labial cortical plate, and perforation of the lingual cortical plate. Double labial cortex of the lesion is obvious reflecting its undulating course. Associated teeth exhibited loss in lamina dura with slight lateral displacement and no root resorption. The lesion also involved the left mental foramen (Figure 3).
Two incisional biopsies of the lesion were performed. The first was related to tooth 41 measuring 2x2 cm, while the other was related to tooth 33 measuring 1x1 cm (Figure 4). Both specimens were submitted without the radiographic picture to a general pathology lab. The histological report described a lesion consisting of fibrous cellular tissue that contains multiple hemorrhagic areas, multinucleated giant cells of osteoclastic origin and some trabeculae of woven bone, suggesting CGCG associated with facial fibrous dysplasia (FFD).
Before the second surgery, root canal treatment was completed in associated teeth 35, 34, 33, 32, 31, 41, 42, and 43. Then under general anesthesia, curettage with peripheral ostectomy was performed followed by apicectomy with MTA plug. Macroscopically, the specimen consisted of a 6x6 cm irregular tan brownish tissue mixed with hard fragments and firm consistency (Figure 5).
Immediately after surgery the patient was prescribed anti-inflammatory corticosteroid 5mg for 5 days to address the patient’s complaint regarding paresthesia in the left chin area, which eventually subsided within three weeks. The associated teeth were splinted using wire and composite buttons for a week and the patient was asked to maintain a soft diet, not to bite on the compromised incisor teeth and rinse regularly with saline. Mobility was reassessed and found to be reduced to grade I.
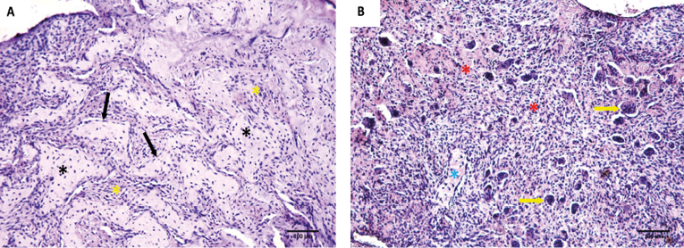
When examined by an oral and maxillofacial pathologist, the histological aspects of the excisional biopsy revealed bone trabeculae with osteoblastic rimming blended with the surrounding fibro-cellular tissue. Adjacent areas showed multinucleated giant cells in loose vascular connective tissue consisting of mononuclear cells and areas of hemorrhage (Figure 6).
Thus, after correlating clinical data with the histopathological picture, the final diagnosis was a hybrid lesion of juvenile trabecular ossifying fibroma (JTOF) with CGCG. The patient had an uneventful postoperative healing period with no signs of recurrence in the 6 months follow-up period. After 6 months, no mobility was found and CBCT images showed normal trabecular bone formation in wheel spoke pattern along the parasymphysis area (Figure 7).
Figure 3. Reconstructed panoramic view (A), Axial cut (B), Corrected coronal cut (C), and Sagittal cut (D) respectively showing mixed hypo-hyper dense lesion at the area of the lower anterior teeth. Red arrows show ill-defined granular wispy septa, while green arrows show hyperdense patches of granular appearance.

Figure 4. Incisional biopsies (A) related to tooth 41 measuring 2x2 cm, (B) related to tooth 33 measuring 1x1 cm.

Figure 5. (A) Trapezoidal flap reflection extending from 37 to 47 and exposure of the surgical site. (B) Bony defect with lingual cortical plate perforation after Curettage and peripheral ostectomy. (C) Suturing using VICRYL 4-0. (D) Macroscopic specimen: 6x6 cm irregular tan brownish tissue mixed with hard fragments.

Figure 6. A photomicrograph showing the histopathological picture of the excisional biopsy. (A): Bone trabeculae with entrapped osteocytes (black asterisk) and osteoblastic rimming (black arrows) in a fibro-cellular connective tissue (yellow asterisk), (B): Multinucleated giant cells (yellow arrows) in loose fibrovascular connective tissue with mononuclear cells, areas of extravasated red blood cells (red asterisk) and reactive bone trabeculae (blue asterisk) (H and E, 200X magnification).

Figure 7. Corrected axial cuts (A, B) & corrected coronal cuts (C, D) respectively showing the healing with new bone formation at the periphery while the center is still hypodense. The presence of abnormal hyperdense structure (arrow) is a remnant of gutta percha.
DISCUSSION
Hybrid lesions are those that comprise two or more histological entities (5). The coexistence of fibro-osseous lesions with CGCG is a rare finding in jaw bones. Only a few reported cases were of CGCG associated with OF (6-8), three reports presented CGCG with fibrous dysplasia (9-11), in addition, only three cases were reported as CGCG in association with JTOF (12-14) (Table 1). In our case a fibro-osseous lesion was detected with giant cell granuloma in the anterior mandible crossing the midline.
According to the radiographic picture, a well-defined multilocular hypodensity can involve a number of lesions. Certain features can differentiate these lesions and weigh the differential diagnosis in favor of specific ones, including the labiolingual expansion, the shape of the internal septa and the location in the jaw. Regarding the labiolingual expansion, since this lesion is considered to be expansile, non-expansile lesions such as odontogenic keratocyst, odontogenic myxoma and fibroma can be easily excluded (15).
According to the radiographic picture, a well-defined multilocular hypodensity can involve a number of lesions. Certain features can differentiate these lesions and weigh the differential diagnosis in favor of specific ones, including the labiolingual expansion, the shape of the internal septa and the location in the jaw. Regarding the labiolingual expansion, since this lesion is considered to be expansile, non-expansile lesions such as odontogenic keratocyst, odontogenic myxoma and fibroma can be easily excluded (15).
Regarding the shape of the septa, the presence of ill-defined granular wispy septa can strongly exclude amelobastoma, pindborg tumor, ameloblastic fibroma and glandular odontogenic cyst since all are known to have coarse curved septa. Furthermore, the patients` age and gender help us to exclude ameloblastoma and pindborg tumor that are more common to occur in adult males above the age of 40 years (15). Moreover, odontogenic myxoma and fibroma can be strongly excluded from this point of view as they commonly show thin straight septa perpendicular to each other with tennis-racket appearance (16).
Nearly all central giant cell lesions are known to have the same shape of septa as in this case. Moreover, aneurysmal bone cyst, CGCG and central hemangioma are common to occur in young females as in this case. However, aneurysmal bone cyst mostly occurs in the posterior mandible causing ballooning expansion of the cortices, while the lesion in this case has an undulating course in the anterior mandible. Central hemangioma commonly occurs in young females, however, its common location in the posterior mandible and its characteristic blood aspirate can easily exclude it from this case (15).
Central giant cell granuloma and brown tumor of hyperparathyroidism are giant cell lesions that preferably occur in the anterior mandible causing labiolingual expansion as in this case. However, solitary forms of brown tumor usually occur at the canine-premolar area and rarely crosses the midline. Despite the brownish tan of the gross specimen, the prevailing red color can strongly exclude the brown tumor, which was given this name because of this point. In addition, the undulating course of the lesion and its characteristic location crossing the midline strongly consider the differential diagnosis of CGCG (15).
The presence of granular patches inside the lesion strongly suggested the co-existence of another lesion of fibro-osseous nature colliding with the multilocular one. Although the histopathologic finding of the first incisional biopsy revealed the presence of a hybrid tumor of FFD and CGCG, the consideration of FFD in our differential diagnosis was probably far because of its common occurrence in the posterior maxilla as an ill-defined unilateral lesion causing facial asymmetry (16).
Other fibro-osseous lesions such as cemento-osseous dysplasias also were not considered because of the lesion pattern of growth and effect, where the lesions would not have reached this size with these few faint granular patches. Cemento-osseous dysplasias would have shown larger encapsulated hyperdense masses placed closer to the teeth apices. Moreover, periapical cemento-osseous dysplasia commonly occurs in a multiple form in black females, while focal lesions usually occur posteriorly related to mandibular molars (15).
Ossifying fibroma is a fibro-osseous lesion that can be included in the differential diagnosis of this case because of its granular appearance and female predilection. However, its` juvenile variant is more considered because of the young patients` age and more aggressive behavior showing relatively rapid expansion and loosening of the teeth in few months (15, 16).
Regarding the histopathological aspect of this case, although the diagnosis of the incisional biopsy predicted the lesion to be FFD associated with CGCG, we believed that the final diagnosis was a hybrid lesion of JTOF and CGCG. The excisional biopsy diagnosis was based on the aggressive clinical behavior, radiographic appearance, histopathological picture, and lack of recurrence.
Although it was previously established that JTOF may contain scattered giant cells in the cellular stroma surrounding the bone trabeculae (17), the histopathological features of our excisional biopsy resemble the picture of the previously reported cases regarding the presence of two different zones. The OF zone contains bone trabeculae rimmed by plump osteoblasts in a highly cellular stroma while the giant cell zone comprises multinucleated giant cells in a loose fibrovascular stroma (12-14). The JTOF is unencapsulated but well demarcated from the surrounding bone in contrast to the fibrous dysplasia, which at its periphery, the lesional bone fuses with normal bone, without a capsule or line of demarcation. Additionally, in the fibrous dysplasia, the formed woven bone trabeculae are thin, curvilinear in shape, without osteoblastic rimming and with peritrabecular clefting. This pattern differs from the mixture of woven bone, lamellar bone, and spheroid particles distinguishing ossifying fibroma and cemento-osseous dysplasia (18).
Three different theories were proposed to explain the pathogenesis of our reported case (14). The first theory suggests that the JTOF occurs first followed by a disruption of a major vascular supply owing to the rapid growth. The extravasation of red blood cells and plasma proteins stimulate mononuclear stromal cells to change to giant cells (10). The second hypothesis supports the fact that the osteoblasts within the JTOF recruit osteoclast giant cells in the lesion area through a paracrine activity (9,19).
Moreover, another theory suggests that the presence of a fibro-osseous lesion with a giant cell lesion in the same area is coincidental and both lesions emerged independently in one place (20). Blood monocytes were also supposed in some postulates to be the origin of the giant cells either by being attracted under the influence of the stromal cells’ chemokines and proteases or through the Receptor Activator of Nuclear factor Kappa-Beta (RANK) and Receptor Activator of Nuclear factor Kappa-Beta Ligand (RANKL) interaction (21).
Due to the paucity of similar cases, choosing the proper treatment was difficult as the future behavior of the lesion could not be predicted. Curettage and peripheral ostectomy was chosen, and the 6 months follow-up revealed proper healing with no recurrence.
Similar to our case, previous reports by Geetha et al. (12), Saad et al. (13), and Krishna et al. (14) described hybrid lesions of juvenile trabecular ossifying fibroma (JTOF) with central giant cell granuloma (CGCG) in the mandible, showing overlapping clinical and radiographic features such as slowly growing swelling, well-defined radiolucency, and cortical expansion in young patients. These studies also reported favorable outcomes following surgical treatment, with no evidence of recurrence, as observed in our case.
However, unlike our case, the lesions reported by Geetha et al. and Krishna et al. (12,14) occurred in male patients. Additionally, all three reported cases (12-14) were painless, in contrast to our case, which presented with pain. This difference could be attributed to the patient’s history of trauma and the involvement of non-vital teeth. Despite the presence of lingual cortical perforation in our case, the treatment approach was more conservative than that reported by Krishna et al. (14), who performed a segmental mandibulectomy with reconstruction. This aggressive approach was likely influenced by a recurrence of the lesion one year after initial excision, which was further explained by the presence of aneurysmal bone cyst changes in addition to the hybrid JTOF and CGCG. These differences highlight the variability in the clinical and radiographic behavior of such lesions and underscore the importance of individualized treatment planning.
This report is limited by its nature as a single case study, which restricts the generalizability of the findings. Furthermore, the rarity of this hybrid lesion limits comparison with other documented cases in the literature.
Given the rarity and diagnostic complexity of hybrid lesions such as the coexistence of central giant cell granuloma and juvenile trabecular ossifying fibroma, there is a clear need for further case reports and clinical studies. Accumulating additional evidence from similar cases will help in understanding their biological behavior and response to treatment. Such data are essential to develop standardized therapeutic protocols and improve clinical outcomes for patients with these uncommon lesions.
Table 1. Case reports presenting hybrid lesions of JTOF and CGCG.
|
Author/Year |
Age/Sex/Site |
Radiographic |
Histopathological Picture |
Final Diagnosis |
Treatment/Follow up |
|
Geetha et al., 2011 (12) |
9 years/ Male/ Angle of the mandible |
Well-defined unilocular radiolucency with some radio-opacities |
Dense cellular fibrous connective tissue with numerous fibroblasts and irregular trabeculae of bone rimmed by osteoblasts. Areas of focal numerous multinucleated giant cells. |
JTOF with CGCG degenerating to solitary bone cyst |
Aspiration followed by open biopsy under local anesthesia, and finally, curettage of the lesion with removal of the displaced tooth. Regular follow-up through panoramic images for 3 months, 6 months, and 1 year interval showed uneventful healing |
|
Saad et al., 2019 (13) |
9 years/Female/ Anterior Mandible |
Well-defined multilocular radiolucency with diffuse radio-opacities |
Interconnecting immature bony trabeculae surrounded by plump osteoblasts besides clusters of multinucleated giant cells |
Hybrid JTOF and CGCG |
An incisional biopsy diagnosed under the microscope as CGCG, followed by injecting the lesion with corticosteroid dissolved in anesthetic solution through 6 weekly injections, upon which the lesion showed marked regression. The swelling recurred after 6 months, and the lesion underwent an excisional biopsy that revealed hybrid JTOF and CGCG. The healing was uneventful, and no worrying findings were observed through the 6-week follow up. |
|
Krishna et al., 2024 (14) |
14 years/ Male Posterior Mandible |
Well-defined multilocular radiolucency with a sclerotic border at the periphery |
Osteoid within a hypercellular stroma, CGCG like area filled with osteoclast like giant cells and reactive bone formation, besides large cystic cavity filled with red blood cells and lined by giant cells in a compressed connective tissue. |
JTOF associated with CGCG with aneurysmal bone cyst changes |
An incisional biopsy diagnosed under the microscope as OF. Then segmental mandibulectomy and reconstruction plate was done 1 year later after marked enlargement. The patient had an uneventful postoperative healing period with no signs of recurrence in the 1-year follow-up period. |
JTOF: Juvenile trabecular ossifying fibroma -- CGCG: Central Giant Cell Granuloma.
CONCLUSION
We reported a rare case of JTOF and CGCG representing the fourth in the literature. Curettage and peripheral ostectomy proved effective in controlling the case. Further reporting of similar cases is recommended for better understanding of the behavior and pathogenesis in order to determine the proper treatment.
List of abbreviations
Author contribution statement
Conceptualization and design: E.A.E.
Literature review: H.E.D.H. and M.M.M.
Methodology and surgical procedure: H.E.D.H. and M.M.M.
Radiographic Interpretation and Analysis: M.M.A.E.F. and E.A.E.
Histopathologic Interpretation and Analysis: I.M.H. and B.A.A.
Writing-original draft preparation: E.A. and B.A.A.
Writing-review & editing: M.M.A.E.F. and I.M.H.
Supervision and project administration: M.M.A.E.F. and I.M.H.
Acknowledgement
We gratefully acknowledge Dr. Rabab Mohamed, assistant lecturer of endodontics, for implementing the endodontic treatment of the patient.
References
1. Ari I., Adiloglu S., Aktas A,. Yasan G.T., Usman E., Aksoy S. Incidence, treatment method and recurrence rate in giant cell granulomas: Retrospective study. Journal of Cranio-Maxillofacial Surgery. 2024; 52 (6).
2. Triantafillidou K., Venetis G., Karakinaris G., Iordanidis F. Central giant cell granuloma of the jaws: A clinical study of 17 cases and a review of the literature. Annals of Otology, Rhinology and Laryngology. 2011; 120 (3).
3. Crusoé-Rebello I., Torres M.G.G., Burgos V., Oliveira C., Dos Santos J.N., Azevedo R.A., et al. Hybrid lesion: Central giant cell granuloma and benign fibroosseous lesion. Dentomaxillofacial Radiology. 2009; 38 (6).
4. How Y.B., Telang A., Telang L., Tilakaratne W.M. An unusual case of Central Giant Cell Granuloma. J Oral Maxillofac Surg Med Pathol. 2024; 37 (1): 239. doi:10.1016/j.ajoms.2024.04.018
5. Choudhari S.K., Gadbail A.R. Hybrid Odontogenic Tumors: A Controversy. Vol. 21, Pathology and Oncology Research. 2015.
6. Rai A., Ahmad S.A., Saleem M., Faisal M. Hybrid central giant cell granuloma and central ossifying fibroma: Case report and literature review. J Oral Maxillofac Surg Med Pathol. 2019; 31 (4).
7. De Souza G.M., Da Silva Monteiro M., Miranda Á.M.M.A., De Andrade B.A.B., Romañach M.J., Abrahão A.C., et al. Central Giant Cell Granuloma Associated with Central Ossifying Fibroma: Report of an Unusual Case. Oral Surg Oral Med Oral Pathol Oral Radiol. 2022; 134 (3).
8. Saadaat R., Adelyar M.A., Haidary A.M., Faizi F.R., Abdul-Ghafar J. Combined lesion of central giant cell granuloma and ossifying fibroma: A case report of a rare event in oral cavity. Int J Surg Case Rep. 2022; 94.
9. Farzaneh A.H., Pardis P.M. Central giant cell granuloma and fibrous dysplasia occurring in the same jaw. Med Oral Patol Oral Cir Bucal. 2005; 10 Suppl 2.
10. Kurra S., Sreenatha Reddy D., Gunupati S., Srikanth K., Srinath Reddy M. Fibrous dysplasia and central giant cell granuloma: A report of hybrid lesion with its review and hypotheticated pathogenesis. Journal of Clinical and Diagnostic Research. 2013; 7 (5).
11. Jawanda M., Narula R., Shankari M., Gupta S. Hybrid lesions comprising central giant cell granuloma and fibrous dysplasia: A diagnostic challenge for pathologist. Journal of Oral and Maxillofacial Pathology. 2015; 19 (3).
12. Geetha N., Pattathan R.K., Shivakumar H., Upasi A. Fibro-osseous lesions vs. central giant cell granuloma: A hybrid lesion. Ann Maxillofac Surg. 2011; 1 (1).
13. Saad H.R., Kamal N.M., Amer H.W. Case report: Rare hybrid lesion of a central giant cell granuloma within a juvenile ossifying fibroma. F1000Res. 2019; 8.
14. Krishna R., Kumar P., Mohanty S., Urs A.B. Juvenile trabecular ossifying fibroma associated with central giant cell granuloma and aneurysmal bone cyst like changes-A triple hybrid tumour? or a pathologic sequelae? Journal of Oral and Maxillofacial Pathology. 2024; 28 (2): 337-42.
15. M. Mallya S., W.N. Lam E. White and Pharoah’s Oral Radiology Principles and Interpretation 8th ed. Missouri: Elsevier. 2020.
16. MacDonald D. Oral and maxillofacial radiology: A diagnostic approach, second edition. In: David MacDonald BDS, BSc (Hons.), LLB (Hons.), et al., eds. Oral and Maxillofacial Radiology: A Diagnostic Approach. Second. John Wiley & Sons; 2019: 159-272. doi:10.1002/9781119218739
17. Neville B., Damm D., Allen C., Chi A. Neville Oral and Maxillofacial Pathology, 4ed. Vol. 4, Elsevier. 2016.
18. Neville B.W., Damm, D.D., Allen, C.M., Chi, AC. Oral and Maxillofacial Pathology. Fifth. United States: ElSevier; 2023.
19. Penfold C.N., McCullagh P., Eveson J.W., Ramsay A. Giant cell lesions complicating fibro-osseous conditions of the jaws. Int J Oral Maxillofac Surg. 1993; 22 (3).
20. Shetty K., Giannini P., Leigh J. A hybrid giant cell granuloma and fibro-osseous lesion of the mandible. Oral Oncology Extra. 2004; 40 (6-7).
21. Wu P.F., Tang J.Y., Li K.H. RANK pathway in giant cell tumor of bone: pathogenesis and therapeutic aspects. Vol. 36, Tumor Biology. 2015.
Copyright (c) 2025 Esraa Ahmed Eid, Mona Mahmoud Abo El Fotouh, Hossam El-Dien Hany, Basma Abdelrahman Ahmed, Mariam Magdy Mostafa, Iman Mohamed Helmy.
Odovtos -Int J Dent Sc endoses to CC-BY-NC-SA 4.0.